

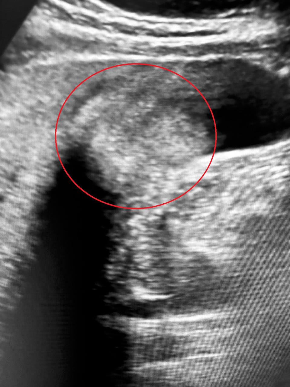
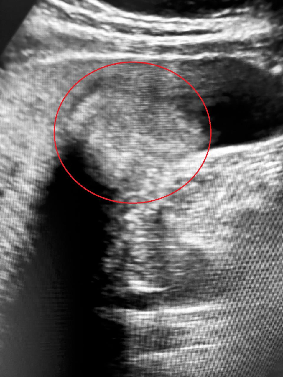
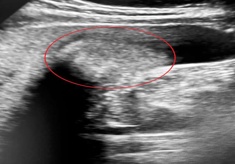
高市約70歲張姓老翁因胃痛、脹氣及右上腹劇痛就醫確診膽囊癌二期,博田國際醫院肝膽胰外科副院長李金德建議切除膽囊。李金德說,膽囊癌全球僅約0.5%,執刀近50年,經手膽結石癌變不足10例,根據外科教科書處理原則標準程序,切除張翁膽囊附著處肝臟與清除膽管旁淋巴,視癌細胞擴散情況安排化療或定期追蹤。膽結石如久未處理,可能衍生慢性膽囊炎、膽管結石、胰臟炎、膽管炎、黃疸甚至癌化風險,滿50歲膽結石病友每年約0.08%演變膽囊癌,建議如出現胃痛、右上腹不適等症狀速就醫檢查,掌握治癒先機。圖/博田國際醫院提供、文/高培德


#高雄捷運報 #高雄在地媒體 #高雄新聞 #鮮新聞 #高雄新聞網 #博田國際醫院
訪客留言討論