高市退休警罹足跟骨骨刺 七賢脊椎外科醫院微創關節鏡手術治癒
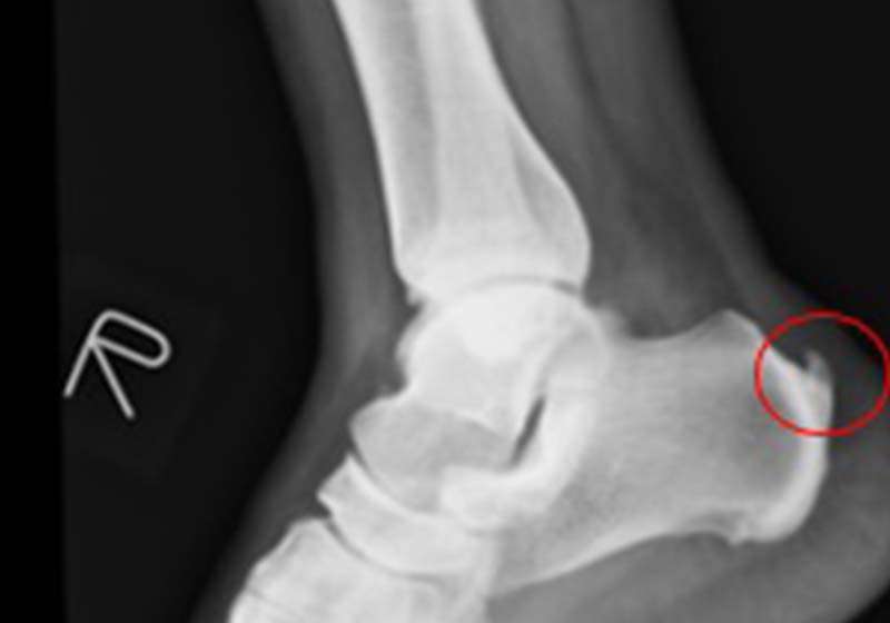
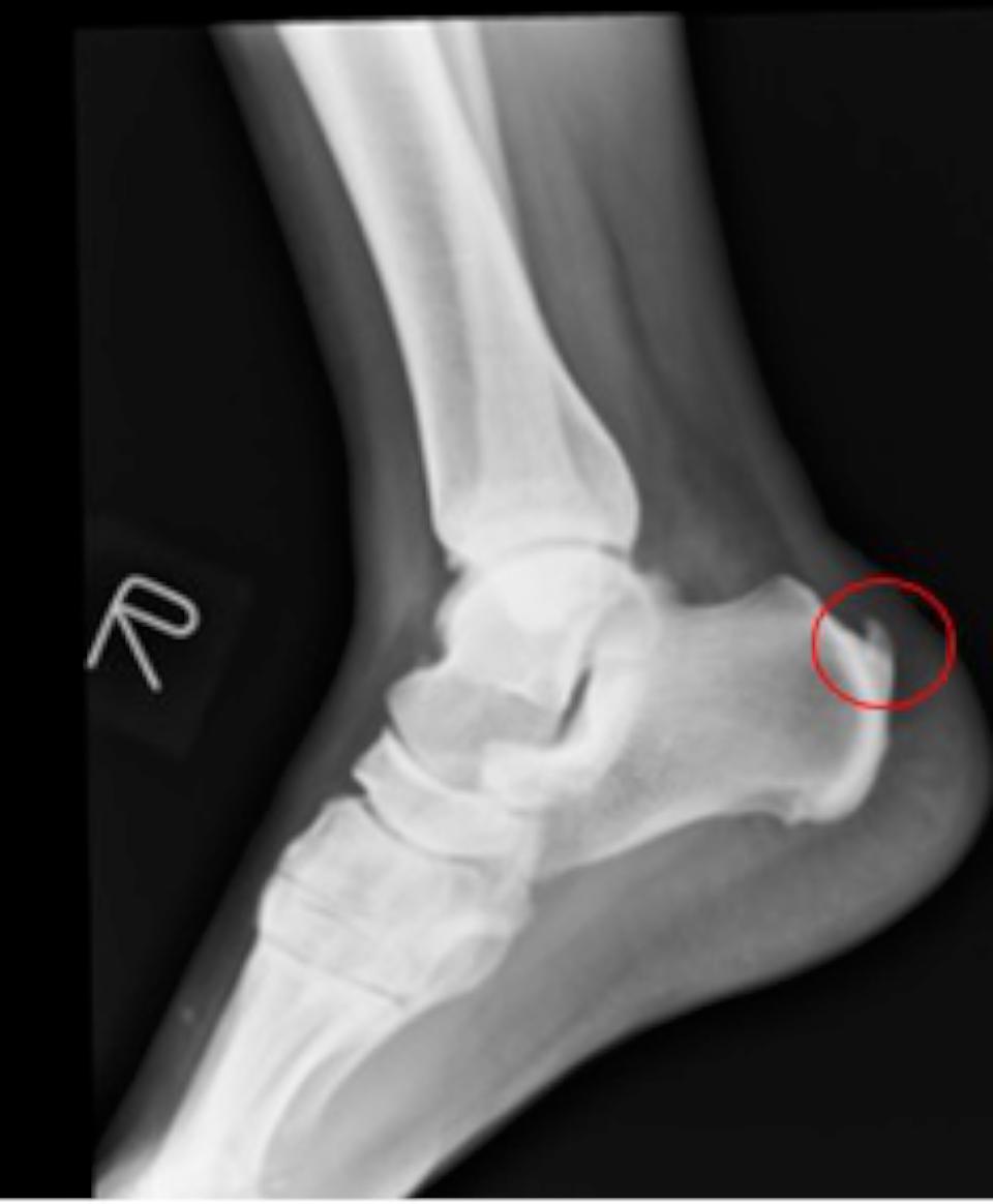
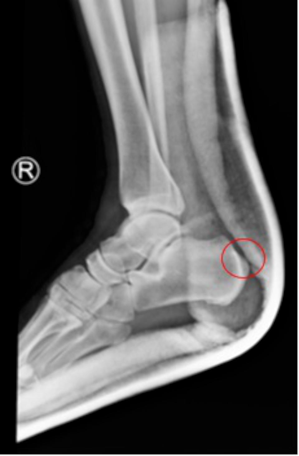
高市劉姓員警退休後陪伴高齡母親,種植竹筍過程突感足底疼痛,就醫治療兩年未見改善,經友人轉介七賢脊椎外科醫院骨關節科主任吳宗哲確診足跟骨骨刺,肇因阿基里斯肌腱過度拉扯,術後恢復正常生活。
吳宗哲說,跟骨骨刺可能出現疼痛、灼熱、腫脹等症狀,久站、運動傷害、肥胖、扁平足、高足弓等是好發族群,提醒足跟疼痛持續逾一週,建議就醫檢查治療。圖/七賢脊椎骨科醫院提供、文/高培德
#七賢脊椎骨科醫院 #扁平足 #鮮週報



















