toppic

高市油漆工腦傷顱內出血併發水腦症 民生醫院腦室腹腔分流術治療恢復意識

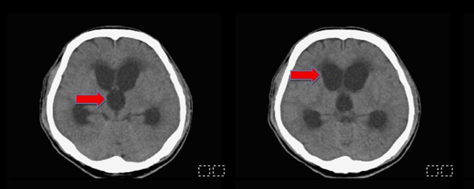
高市48歲男子從事油漆工作過程頭部外傷顱內出血,就醫未開刀治療入住安養機構,突發意識不清及嗜睡送至民生醫院急診,腦部電腦斷層檢查確認水腦症,接受腦室腹腔分流術排出多餘腦脊髓液,術後清醒,恢復正常行動。

高市油漆工腦傷顱內出血併發水腦症 民生醫院腦室腹腔分流術治療恢復意識

高市油漆工腦傷顱內出血併發水腦症 民生醫院腦室腹腔分流術治療恢復意識

神經外科主治醫師陳志豪說,頭傷可能衍生後遺症,其中水腦症肇因腦脊髓液循環不良、吸收異常,導致過量腦脊髓液累積腦部壓迫組織,未即時診療恐造成記憶力下降、步態不穩、意識變差、大小便失禁等症狀,長期損害神經系統。
陳志豪說,臨床可透過電腦斷層(CT)、磁振共振造影(MRI)判斷追蹤評估手術,根據研究適時分流腦脊髓液有助改善神經功能。圖/民生醫院提供、文/高培德

#民生醫院 #高雄捷運報 #高雄在地媒體 #高雄新聞 #鮮新聞 #高雄新聞網

訪客留言討論

更多報導

賓主盡歡 高貴不貴 饗禾記火鍋雞&酸菜魚專賣

影音專區

我們來印的 包月只要3000元