七賢脊椎外科醫院腓神經鬆解術 改善中年男小腿痛麻可正常翹起
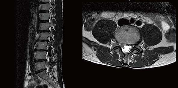
高市50歲張姓男子衝浪後突感右小腿外側及臀部疼痛,感覺像,就醫核磁共振檢查發現腰椎第四、五節椎間盤斷裂,壓迫右側第五對神經根,手術治療雖獲改善,但腳掌無法翹起,轉診七賢脊椎外科醫院經副院長蔡東翰確診肇因合併腓神經壓迫,建議施作腓神經鬆解術,局部麻醉半小時完成,後續復原快速。
蔡東翰表示,張男腰部椎間盤壓迫神經根及腓神經,造成小腿外側痛麻及翹起,可運用膝蓋肌腱反射辨識,如出現相關症狀最好求助專業醫師。圖/七賢脊椎外科醫院提供、文/高培德
#七賢脊椎外科醫院 #腰椎 #鮮週報



















