


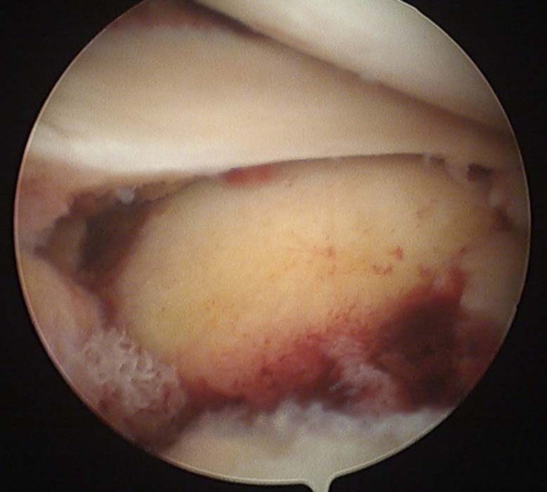
高市58歲張姓女長照服務員上班途中不幸遭汽車擦撞左膝挫傷,後送大同醫院急救,經X 光與電腦斷層掃描確診左膝脛骨骨折,骨科醫師黃柏樺建議施作關節鏡輔助骨折復位與鋼板鋼釘內固定手術,術後3個月可正常行走,成為長庚醫療接手營運後首名完成關節鏡手術病友。
關節鏡術僅2至3個約0.5公分傷口,相較傳統開刀,兼具疼痛少、恢復期短、降低後遺症風險等特性,黃柏樺說,手術仰賴經驗及技巧,未來續推廣嘉惠更多病友,但因手術屬自費,建議尋求專科醫師評估,決定適切治療方式。圖/長庚醫院提供、文/高培德

#高雄捷運報 #高雄在地媒體 #高雄新聞 #鮮新聞 #高雄新聞網 #長庚醫院 #大同醫院