toppic

高市男心臟腹痛確診膽囊腺肌症 博田國際醫院單孔腹腔鏡切除膽囊重拾正常生活

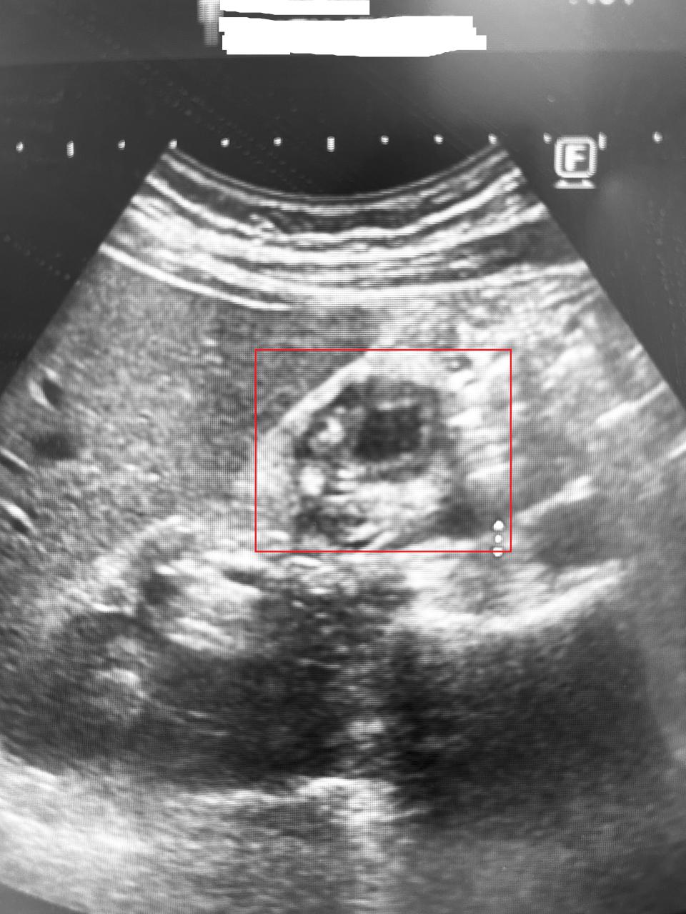
高市49歲林姓男子5年來飽受心窩悶痛與右上腹脹痛困擾,就醫檢查輕微胃炎且未發現結石,經博田國際醫院肝膽胰外科主治醫師李金德電腦斷層掃描發現膽囊壁異常增厚達正常6倍,進一步確診膽囊腺肌症,建議施作單孔腹腔鏡切除膽囊,術後復原情況良好,李金德說,50至60歲是膽囊腺肌症好發族群,女性略多男性,如長期飯後疼痛、噁心、腹脹、背痛等症狀,速就醫診療,重拾正常生活。圖/博田國際醫院提供、文/高培德

高市男心臟腹痛確診膽囊腺肌症 博田國際醫院單孔腹腔鏡切除膽囊重拾正常生活

高市男心臟腹痛確診膽囊腺肌症 博田國際醫院單孔腹腔鏡切除膽囊重拾正常生活

高市男心臟腹痛確診膽囊腺肌症 博田國際醫院單孔腹腔鏡切除膽囊重拾正常生活

#博田國際醫院 #高雄捷運報 #高雄在地媒體 #高雄新聞 #鮮新聞 #高雄新聞網

訪客留言討論

更多報導

正修科技大學歡慶創校六十周年

影音專區

以平價奢華 打造療癒又多元化的SPA按摩體驗 翡冷翠SPA按摩會館